
در این گزارش مفصل، خوانندگان محترم با بیماری لیزوروم یا گوشه به طور جامع و دقیق آشنا خواهند شد. در ادامه، علائم و نشانه های این بیماری مزمن و پیچیده به تفصیل شرح داده شده است. همچنین داروهای درمانی استاندارد و روش های مدیریت این اختلال در این متن گنجانده شده است. هدف این گزارش، فراهم آوردن اطلاعات جامع و قابل اعتماد در خصوص این بیماری برای مخاطبان محترم می باشد.
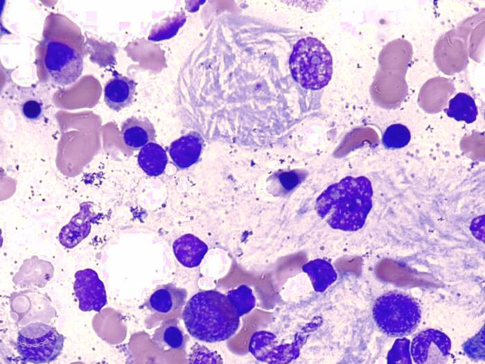
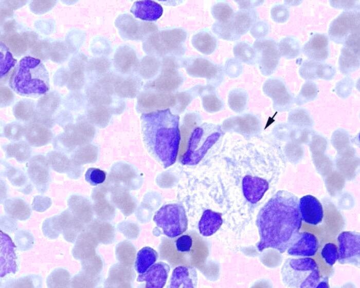
بیماری گوشه ناشی از تجمع مواد چربی ویژه ای در برخی از اندام ها، به ویژه در طحال و کبد است. این اتفاق باعث می شود که این اعضا بزرگ شوند و بر عملکردشان تاثیر بگذارند. مواد چرب نیز می توانند در بافت استخوان ها ساخته شوند که استخوان را ضعیف کرده و خطر شکستگی را افزایش می دهند و اگر مغز استخوان آسیب دیده باشد، می تواند با توانایی بدن در لخته شدن تداخل ایجاد کند. بیماری گوشه یک اختلال ناشی از تجمع مواد چربی خاص در برخی اندام های بدن است، به ویژه طحال و کبد. این تجمع باعث بزرگ شدن این اعضا و تأثیر بر عملکرد آنها می شود. همچنین، مواد چربی می توانند در بافت استخوان ها تشکیل شوند، که باعث ضعیف شدن استخوان ها و افزایش خطر شکستگی می شود. اگر مغز استخوان آسیب ببیند، ممکن است با توانایی بدن در لخته شدن تداخل ایجاد کند.
آنزیمی که این مواد چرب را تجزیه می کند به درستی در افراد مبتلا به بیماری گوشه کار نمی کنند و درمان معمولاً شامل درمان جایگزینی آنزیمی است. این بیماری از میان 50,000 تا 100,000 نفر در جمعیت عمومی در یک نفر رخ می دهد. نوع 1 شایع ترین شکل این اختلال است و نشانه هایش می توانند در هر سنی ظاهر شوند ؛ با ما در بخش سلامت نمناک همراه شوید تا توضیحات کامل تری در رابطه با این بیماری بدانید.
انواع مختلفی از بیماری گوشه وجود دارد و نشانه های این بیماری بسیار متفاوت است، حتی در یک نوع. نوع 1 بیش ترین عمومیت را دارد.
خواهر برادری، حتی دوقلوهای همسان، با این بیماری می توانند سطوح مختلفی از شدت را داشته باشند. برخی از افرادی که مبتلا به بیماری گوشه هستند، تنها علائم خفیفی دارند و یا حتی هیچ علائمی ندارند.
بیشتر افرادی که مبتلا به بیماری گوشه هستند، درجات مختلفی از مشکلات زیر را دارند:
چون کبد و به خصوص طحال می توانند به طور چشمگیری بزرگ شوند، شکم به طرز دردناکی مشکل دار می شود.
بیماری گوشه می تواند استخوان را ضعیف کند و خطر شکستگی های دردناک را افزایش دهد. هم چنین می تواند با تامین خون برای استخوان های شما تداخل داشته باشد که موجب مرگ استخوان خواهد شد.
کاهش در میزان سلول های خونی قرمز سالم (کم خونی) می تواند منجر به خستگی شدید شود. بیماری گوشه همچنین بر سلول های مسئول لخته شدن نیز تاثیر می گذارد که باعث کبودی و خون دماغ می شود.
- بیماری گوشه به ندرت بر مغز تاثیر می گذارد که می تواند باعث حرکات چشمی غیر عادی، سفتی ماهیچه ها، مشکل در بلع و تشنج شود. یک نوع نادر از بیماری گوشه در کودکی آغاز می شود و معمولاً تا 2 سالگی منجر به مرگ می شود.
نوع 1 بیماری گوشه رایج ترین شکل این بیماری است. نوع 1 نیز بیماری غیر نورونوپاتی نامیده می شود زیرا مغز و نخاع (سیستم عصبی مرکزی) معمولاً تحت تاثیر قرار نمی گیرند. ویژگی های این شرایط از خفیف تا شدید متفاوت است و ممکن است در هر زمانی از کودکی تا بزرگسالی دیده شود. علایم اصلی اش عبارتند از :بزرگ شدن کبد و طحال (کم خونی)، راحت کبود شدن ناشی از کاهش در میزان پلاکت ها خونی (ترومبوسیتوپنی)، بیماری های ریوی و ناهنجاری های استخوان مانند درد استخوان، شکستگی و ورم مفاصل.
انواع 2 و 3 بیماری گوشه به عنوان اشکال نورونوپاتیک از این اختلال شناخته می شوند زیرا آن ها با مشکلاتی مشخص می شوند که سیستم عصبی مرکزی را تحت تاثیر قرار می دهند و علاوه بر علایم و نشانه های توصیف شده در بالا، این شرایط می تواند باعث حرکات چشمی غیر عادی، تشنج، و آسیب مغزی شود. بیماری نوع 2 معمولاً موجب مشکلات پزشکی تهدید کننده زندگی در کودکی می شود. بیماری نوع 3 نیز بر سیستم عصبی تاثیر می گذارد اما به آرامی از نوع 2 بدتر می شود.
شدید ترین نوع بیماری گوشه شکل پری ناتال مرگبار نامیده می شود. این شرایط موجب مشکلات جدی یا تهدیدکننده زندگی قبل از تولد و یا در دوران کودکی می شود. ویژگی های شکل مهلک پری ناتال می تواند شامل تورم گسترده ناشی از تجمع مایع قبل از تولد (هیدروپس جنینی)؛ پوست خشک و زبر و یا سایر اختلالات پوستی؛ هپاتوسپلنومگالی؛ ویژگی های متمایز چهره؛ و مشکلات جدی عصبی باشد. همانطور که نامش نشان می دهد، اغلب نوزادان با شکل مرگبار پری ناتال تنها به مدت چند روز پس از تولد زنده می مانند.
شکل دیگری از بیماری گوشه به عنوان نوع قلبی عروقی شناخته می شود چون عمدتاً قلب را تحت تاثیر قرار می دهد و باعث می شود که دریچه های قلب سفت شوند (آهکی شدن). افراد مبتلا به بیماری های قلبی عروقی نیز ممکن است دچار اختلالات چشمی، بیماری استخوان و بزرگ شدن طحال شوند.
اگر شما یا کودکتان علائم و نشانه های مرتبط با بیماری گوشه را دارید، با پزشک خود قرار ملاقات بگذارید.
بیماری گوشه به همراه الگوی وراثتی به نام اتوزومال مغلوب منتقل می شود. هر دو والدین باید حامل ژن تغییر یافته (دگرگون شده) برای فرزند خود باشند تا این مشکل را به ارث ببرند.
این مشکل در الگوی اتوزومال مغلوب به ارث برده می شود، که به معنی وجود دو کپی ژن دارای جهش در هر سلول است. والدین فرد با یک شرط اتوزومال مغلوب هر کدام یک کپی از ژن خاموش را دارند اما معمولاً نشانه ها و علائم بیماری را نشان نمی دهند.
بیماری گوشه می تواند منجر به موارد زیر شود:
- تاخیر در رشد و بلوغ در کودکان
- مشکلات زنان و زایمان
- بیماری پارکینسون
- سرطان هایی نظیر میلوما، سرطان خون و لنفوم
در طی یک تست فیزیکی، پزشک بر روی شکم شما یا کودکتان فشار وارد می کند تا اندازه طحال و کبدتان را چک کند. برای مشخص کردن اینکه آیا بیماری گوشه دارید یا خیر، او قد و وزنتان را با نمودارهای رشد استاندارد مقایسه خواهد کرد و همچنین ممکن است برخی تست های آزمایشگاهی، اسکن تصویربرداری و مشاوره ژنتیکی را توصیه کند.
نمونه های خونی را می توان برای سطوح آنزیم مرتبط با بیماری گوشه چک کرد. آنالیز ژنتیکی می تواند نشان دهد که آیا شما این بیماری را دارید یا خیر.
افرادی که مبتلا به بیماری گوشه هستند به طور معمول به تست های دوره ای نیاز دارند تا پیشرفتشان را دنبال کنند، از جمله این موارد:
جاذب تابش اشعه ایکس ری انرژی دوگانه (DXA). در این تست، از اشعه ایکس سطح پایین برای اندازه گیری چگالی استخوان استفاده می شود.
MRI. با استفاده از امواج رادیویی و یک میدان مغناطیسی قوی، MRI می تواند نشان دهد که طحال یا کبد بزرگ شده است یا خیر و مغز استخوان تحت تاثیر قرار گرفته یا خیر.
غربالگری پیش از بارداری و آزمایش پیش از بارداری. اگر شما یا همسرتان سابقه خانوادگی بیماری گوشه دارید، می توانید قبل از تشکیل خانواده، غربالگری ژنتیکی انجام دهید. در برخی موارد پزشکان آزمایش قبل از تولد را توصیه م ی کنند تا ببینند که جنین در معرض خطر ابتلای بیماری گوشه قرار دارد یا خیر.
در حالی که هیچ درمان قطعی برای بیماری گوشه وجود ندارد اما درمان های متنوعی می تواند به کنترل علایم، جلوگیری از آسیب های برگشت ناپذیر و بهبود کیفیت زندگی کمک کند. برخی از افراد علائم خفیف و کمی دارند که به درمان نیاز ندارند.
به احتمال زیاد پزشکتان نظارت روتین برای مراقبت از پیشرفت بیماری و عوارض را توصیه می دکند. هر چند وقت باید تحت نظارت قرار بگیرید و این به وضعیت شما بستگی خواهد داشت.
بسیاری از افرادی که بیماری گوشه دارند، پس از شروع این نوع درمان علائم بهبود را در خود دیده اند:
این روش جایگزین آنزیم معیوب با ترکیبات مصنوعی می شود. این آنزیم های جایگزینی در یک روش سرپایی با استفاده از سیاه رگ ریوی (داخل وریدی) به فرد وارد می شوند و به طور معمول در دوزهای بالا در فواصل دو هفته ای زده می شوند و گاهی افراد واکنش آلرژیکی نسبت به درمان آنزیم دارند.
این داروی خوراکی به نظر می رسد با تولید مواد چربی که در افراد مبتلا به بیماری گوشه ایجاد می شوند، تداخل ایجاد می کند. اسهال و کاهش وزن، اثرات جانبی رایجی هستند.
این دارو از سوی اداره غذا و دارو در سال 2014 برای درمان رایج ترین شکل از بیماری گوشه مورد تایید قرار گرفته است و این دارو همچنین به نظر می رسد که تولید مواد چرب را مهار کند و عوارض جانبی احتمالی اش شامل خستگی ، سردرد ، حالت تهوع و اسهال است.
این نوع دارو می تواند به بازسازی استخوان با بیماری گوشه کمک کند. همانطور که در بخش سلامت نمناک اشاره شده است جراحی و روش های دیگری در صورتی که علائمتان شدید هستند و برای درمان های کم تر مهاجم هم داوطلب نیستید، می تواند توسط پزشک شما پیشنهاد شود:
در این روش سلول های تشکیل خون که از طریق بیماری گوشه آسیب دیده اند حذف و جایگزین می شوند که می تواند بسیاری از علائم و نشانه های بیماری گوشه را معکوس کند. از آنجا که این یک رویکرد با ریسک بالا است، کم تر از درمان جایگزینی آنزیم انجام می شود.
قبل از این که درمان جایگزین آنزیمی در دسترس قرار گیرد، برداشتن طحال درمان رایجی برای بیماری گوشه بود و اکنون این روش معمولاً به عنوان آخرین راه استفاده می شود.
پیش بینی عمر افراد مبتلا به بیماری گوشه نوع 1 یا نوع 3 که درمان می شوند بسیار خوب است. بسیاری از افراد مبتلا به بیماری گوشه علائم کمی دارند و حتی بدون درمان می توانند انتظار یک عمر زندگی طبیعی را داشته باشند.
مطالعه ای برآورد کرده که امید به زندگی برای افرادی که بیماری گوشه نوع 1 را دارند به 68 سال در مقایسه با 77 سال جمعیت عمومی برآورد شده است.
اما بیماری نوع 2 گوشه معمولاً در چند سال اول زندگی منجر به مرگ می شود.