
بیماری گلوکوم، که به عنوان یکی از مشکلات جدی چشم در نظر گرفته میشود، نوعی اختلال است که به تدریج به آسیب رساندن به بینایی چشم منجر میگردد. این بیماری معمولاً با افزایش فشار داخل چشم همراه است و میتواند تأثیرات وخیمی بر روی عصب بینایی داشته باشد. در صورت عدم درمان مناسب، گلوکوم ممکن است باعث کاهش قابل توجهی در توانایی دیدن فرد شود و حتی منجر به نابینایی کامل گردد.مبتلایان به این بیماری ممکن است به دلایل مختلفی نظیر وراثت، سن بالا، مصرف برخی داروها و یا وجود سایر بیماریها مانند دیابت دچار گلوکوم شوند. آگاهی از عوامل خطر و تشخیص زودهنگام این بیماری برای پیشگیری از عوارض آن بسیار حائز اهمیت است. بنابراین، شناخت نشانهها و غربالگری منظم چشم میتواند نقش مؤثری در حفظ سلامت بینایی افراد ایفا کند.
گلوکوم یک اختلال چشمی است که به عصب بینایی آسیب میزند و با گذشت زمان وخیمتر میشود. این بیماری معمولاً با افزایش فشار داخل چشم، که به آن فشار داخل چشمی گفته میشود، در ارتباط است. افزایش این فشار میتواند به عصب بینایی صدمه بزند و اگر این آسیب ادامه یابد، همانطور که در ادامه این بخش از سلامت نمناک به تفصیل توضیح داده شده است، گلوکوم ممکن است منجر به از دست دادن دائمی بینایی شود. عدم درمان مناسب گلوکوم در طولانیمدت ممکن است باعث کوری گردد. بیشتر افراد مبتلا به گلوکوم هیچ نشانه یا درد اولیهای را تجربه نمیکنند؛ بنابراین اگر نگران هستید، ضروری است که به طور منظم نزد چشم پزشک بروید تا او بتواند قبل از پیشرفت بیماری اقدام کند. این موضوع خصوصاً برای افرادی که بالای 40 سال سن دارند یا سابقه خانوادگی ابتلا به این بیماری را دارند اهمیت بیشتری دارد. توصیه میشود هر 1 تا 2 سال یک بار یک معاینه کامل چشم توسط پزشک متخصص انجام دهید و اگر شما دارای مشکلات سلامتی مانند دیابت هستید یا سابقه خانوادگی گلوکوم دارید یا در معرض خطر سایر اختلالات چشمی قرار دارید، ممکن است نیاز باشد بیشتر از قبل نزد چشم پزشک مراجعه کنید.
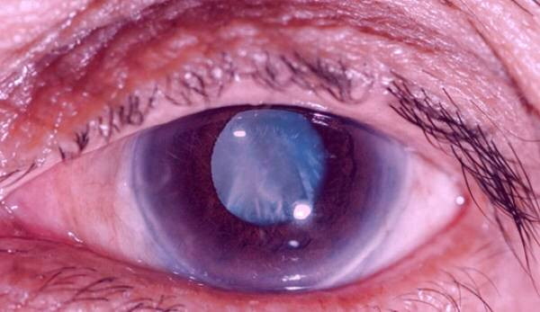
این نتیجه یک وخامت ذاتی عصب بینایی است که منجر به فشار مایع بالا در قسمت جلویی چشم می شود. به طور معمول، مایع چشمی از طریق یک کانال شبکه مانند ،در چشم جریان دارد اگر این کانال مسدود شود، مایع در یک جا جمع میشود. دلیل انسداد ناشناخته است، اما پزشکان می دانند که می تواند به ارث برده شود، به این معنی که از والدین به فرزندان منتقل می شود.
عللی که کمتر شایع هستند شامل آسیب دیدگی یا آسیب های شیمیایی چشم، عفونت شدید چشم،مسدود شدن عروق خونی در داخل چشم و شرایط التهابی است ؛ این نادر است، اما گاهی اوقات عمل جراحی چشم می تواند آن را به وجود آورد. معمولا در هر دو چشم تاثیر می گذارد، اما ممکن است در یکی از دیگر موارد بدتر باشد.
دو نوع اصلی وجود دارد:
این ،شایع ترین نوع است ؛ پزشک شما نیز ممکن است آن را گلوکوم زاویه دید بنامید.ساختار چشم شما -که آن را شبکه مشبک تربوکولر می نامند - به نظر می رسد طبیعی است، اما مایع از آن جریان ندارد.
این نوع خیلی رایج نیستو شما همچنین ممکن است آن را به عنوان زخم حاد یا مزمن زاویه بسته یا گلوکوم زاویه محدود بشنوید. چشم شما درست تخلیه نمی کند زیرا فضای تخلیه بین عنبیه و قرنیه شما بیش از حد باریک می شود. این می تواند باعث ایجاد ناگهانی فشار در چشم شما شود.
عمدتا بر بزرگسالان بالای 40 سال تاثیر می گذارد، اما جوانان، کودکان و حتی نوزادان می توانند آن را داشته باشند. آمریکایی های آفریقایی تبار بیشتر در معرض ابتلا به آن هستند، زمانی که جوانتر هستند.شما بیشتر احتمال دارد که آن را دریافت کنید، اگر:
از تبار آفریقایی-آمریکایی، ایرلندی، روسی، ژاپنی، اسپانیایی، اودیسه یا اسکاندیناوی باشید
بیش از 40 سال باشید
سابقه خانوادگی گلوکوم داشته باشید
بینایی ضعیف داشته باشید
دیابت داشته باشید
داروهای استروئیدی خاصی مانند پردنیزون مصرف کنید
یا قبلا چشمتان آسیب دیده باشد.
اکثر مردم هیچ علائمی ندارند. اولین نشانه اغلب ناشی از دید محیطی یا جانبی است. معمولا دیر شناخته میشود به همین دلیل است که گلوکوم اغلب به عنوان دزد بینایی شناخته می شود.تشخیص زود هنگام گلوکوم یکی از دلایل این است که شما باید هر 1 تا 2 سال یک آزمایش کامل با متخصص چشم داشته باشید.گاهی فشار داخل چشم می تواند به شکل شدیدی افزایش یابد. در این موارد، ممکن است دچار درد ناگهانی چشم، سردرد، تاری دید و یا ظهور هاله در اطراف نور شوید.اگر علایم زیر را داشته باشید، به مراقبت پزشکی سریع نیاز دارید :
چشم پزشک شما از قطره ها برای باز کردن قرنیه چشم استفاده می کند سپس دید شما را آزمایش می کند و چشمان شما را بررسی می کند.او عصب بینایی را بررسی می کند و اگر شما گلوکوم داشته باشید،او ممکن است از عصب عکس بگیرد تا به وی کمک کند تا بیماری شما را در طول زمان ردیابی کند وبرای آزمایش فشار چشم، یک تست به نام تونومتری را انجام می دهد. او همچنین در صورت لزوم آزمایش میدان دید را انجام می دهد تا ببیند آیا دید مستقیم یا محیطی را از دست داده اید. آزمایشات گلوکوم بدون درد و کوتاه مدت است.
پزشک ممکن است قطره چشم تجویز کند، یا جراحی لیزر یا میکروسکوپی را برای کاهش فشار داخل چشم استفاده کند.
این قطره اشک چشم را کمتر می کند یا تخلیه چشمی را بهبود می بخشد ، در نتیجه فشار چشم را کاهش می دهد.عوارض جانبی ممکن است شامل آلرژی، قرمزی، خارش، بینایی تیره و چشم های تحریک شده باشد.برخی از داروهای گلوکوم ممکن است قلب و ریه شما را تحت تاثیر قرار دهد. اطمینان حاصل کنید که هر داروی دیگری که مصرف می کنید و یا حساسیت دارید، به پزشک خود اطلاع دهید.
این روش می تواند جریان مایع از چشم را برای افرادی که دارای گلوکوم زاویه باز هستند افزایش دهد. اگر شما گلوکوم زاویه بسته دارید، می توانید انسداد مایع را متوقف کنید.
این روش ها عبارتند از:
تراکئوپلاستی : منطقه اشکی چشم را باز می کند.
ایریدوتومی :یک سوراخ کوچک در عنبیه ایجاد می کند تا جریان سیال را آزادانه تر کند.
روش اندوسکوپیک: درمان مناطق لایه میانی چشم برای کاهش تولید مایع میکروسکوپیک در یک روش به نام trabeculectomy، دکتر یک کانال جدید برای تخلیه مایع و کاهش فشار چشم ایجاد می کند. گاهی اوقات این نوع از عمل جراحی گلوکوم ناکام است و باید دوباره انجام شود. پزشک شما ممکن است یک لوله برای کمک به تخلیه مایع وارد کند و جراحی می تواند باعث از بین رفتن موقت یا دائمی چشم و همچنین خونریزی یا عفونت شود.
گلوکوم زاویه باز اغلب با ترکیبات مختلف قطره های چشم، لیزر ترابکولوپلاستی و جراحی میکروسکوپ درمان می شود ؛ پزشکان در ایالات متحده تمایل دارند از داروها شروع کنند، اما شواهدی وجود دارد که عمل جراحی اولیه لیزر یا میکروسکوپ جراحی برای برخی افراد بهتر باشد.
گلوکوم نوزاد یا مادرزادی - به این معنا که شما با آن متولد می شوید - عمدتا با جراحی درمان می شود.
با پزشک خود صحبت کنید تا مشخص شود که کدام درمان گلوکوم مناسب شماست.
نه. اما اگر شما زود آن را تشخیص و درمان کنید، می توانید بیماری را کنترل کنید.
در این زمان، بینایی از دست رفته قابل بازیابی نیست با این حال، کاهش فشار چشم می تواند به حفظ دید شما کمک کند. اکثر افراد مبتلا به گلوکوم که از برنامه درمان خود پیروی می کنند و امتحان منظم چشم دارند، کور نمی شوند
1. غذای غنی از کاروتنوئیدها را مصرف کنید:
یکی از اولین گام ها برای جلوگیری از گلوکوم بهبود تغذیه است. شاید بارها و بارها گفته شده که چگونه هویج برای حفظ سلامت چشم عالی است . این به دلیل سطح بالای کاروتنوئیدهای موجود در ان است. این زانتوفیل حاوی خواص آنتی اکسیدانی و مقادیر بالایی از ویتامین A است.غذاهایی که حاوی کاروتنوئیدها هستند، اغلب به دلیل رنگدانه ای که دارند حاوی رنگ زرد یا نارنجی هستند نمونه هایی از غذاهای غنی از کاروتنوئید ها ،عبارتند از:
مهم است که میوه های تازه و سبزیجات بخورید چراکه آنها حاوی بسیاری از ویتامین ها، مواد معدنی و آنتی اکسیدان ها هستند و برای حفظ سلامت چشم ضروری است.
3. یک اسموتی را از توت ها تهیه کرده و میل کنید
4. خوردن ماهی تازه:
به عنوان یک جایگزین، می توانید این انواع مواد غذایی غنی از منیزیم را به رژیم خود اضافه کنید:
5. اجتناب از غذاهایی که آلرژی دارید چراکه آلرژی فشار چشم را افزایش میدهد.
6. محدود کردن کافئین
7. قطع مصرف شکر اضافه
روغنهای ضروری خاصی وجود دارند که می توانند از بروز گلوکوم جلوگیری کنند. سعی کنید موارد زیر را به برنامه خود اضافه کنید:
روغن نارگیل (می تواند گردش خون را افزایش داده و در نتیجه فشار روی چشم را کاهش دهد)
شما می توانید 3 قطره روغن را دوبار در روز بر روی گونه های خود و یا در اطراف چشم خود اعمال کنید. به عنوان یک اقدام احتیاطی، این روغن ها را به طور مستقیم به چشم هایتان نزنید.
در اینجا یک پروتکل ساده برای جلوگیری از گلوکوم به شکل طبیعی وجود دارد که می توانید امتحان کنید:
زغال اخته (160 میلی گرم دو بار در روز) - حاوی فلاونوئیدها است که می تواند عملکرد چشم و جریان خون را بهبود بخشد
استاتسانانت (2 میلی گرم یک بار در روز) - دارای کاروتنوئید است که می تواند باعث کاهش آسیب شبکیه شود
روغن ماهی (1 گرم یک بار در روز) - می تواند به کاهش فشار داخل چشم کمک کند
سی ا کیو10 (300 میلی گرم در روز) - می تواند به درمان آسیب های ناشی از رادیکال های آزاد کمک کند
منیزیم (250 میلی گرم دو بار در روز) - می تواند دیواره عروق خونی و فشار را پایین آورد.
*** هیچ یک از روش ها را بدون مشورت با پزشک انجام ندهید***